МОТОГОНКИ.РУ - ВЕСЬ МОТОСПОРТ: MotoGP, Супербайк, Мотокросс, FMX, Фристайл, Супермото, Кросс
Новости Сюжеты Фото Тэги Календарь Контакты РЕКЛАМА В СМИ
Миланский Мотосалон EICMA 2025

Ключевые новинки мотоиндустрии и живые фотографии

MotoGP
Лента новостей
»
Реклама
21528
8 января 2026 в 17:18
 
Кирилл Чернышев, редактор, тест-пилот © MOTOGONKI.RU

Новобранец MotoGP Фермин Альдегер может пропустить начало сезона 2026 года из-за травмы

Новобранец MotoGP, вступивший в 2025 году в Gresini Racing Фермин Альдегер, вряд ли сможет начать сезон Мото Гран-При 2026 года правильно: только что стало известно, что испанец получил сложную травму на тренировке, которая может стоить ему до двух месяцев реабилитации.
Реклама

МОТОГОНКИ.РУ, 8 января 2026 - Всё произошло на первых больших сборах на Aspar Circuit, где также присутствовали другие пилоты MotoGP, Moto2 и Moto3, включая Марка Маркеса.

Фермин Альдегер умудрился сломать кость левого бедра на тренировке в Валенсии. Уже завтра запланирована срочная операция. Информации от врачей о возможности быстрого возвращения в строй пока нет, всё это появится только завтра по итогам операции.

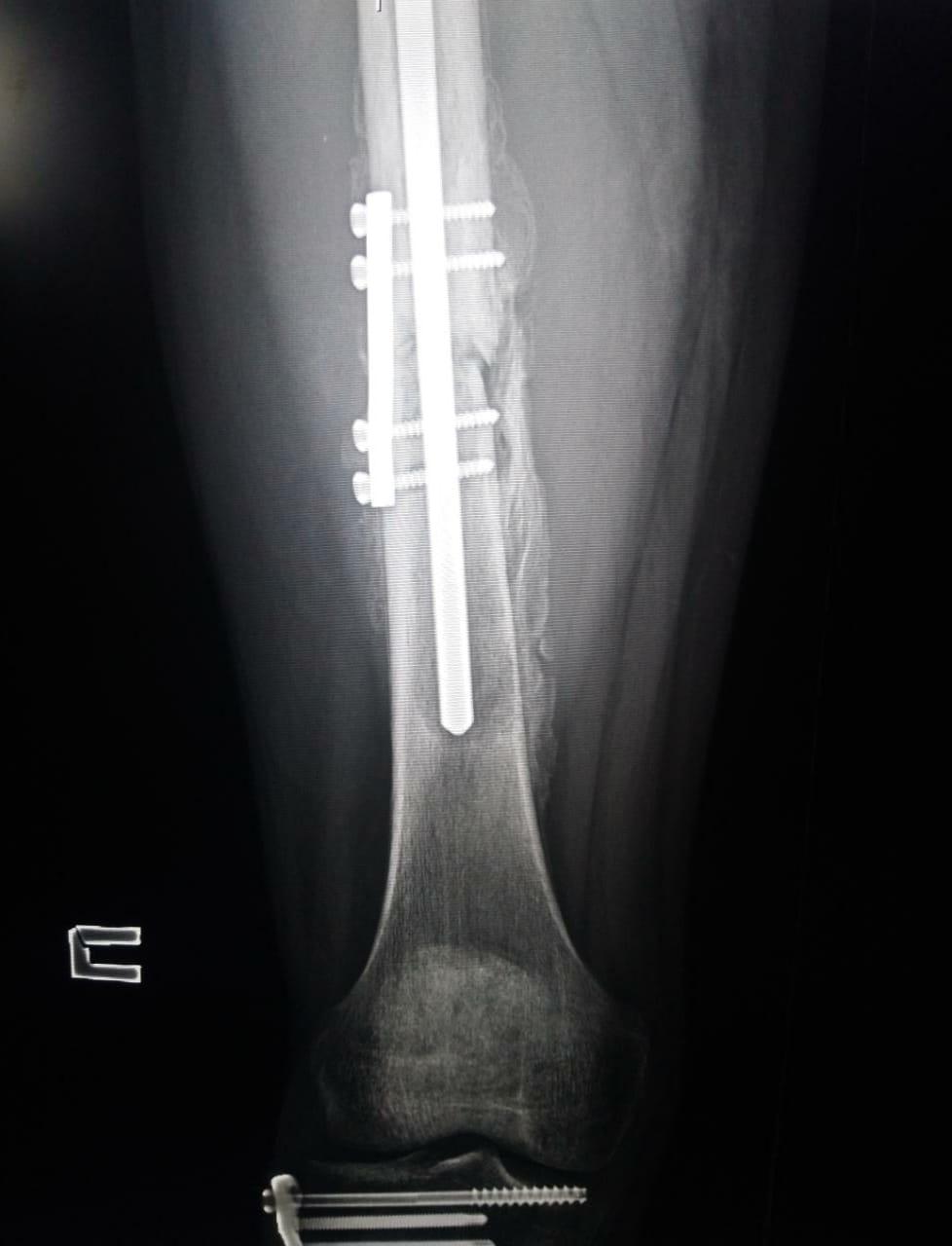
Пример оперативной фиксации диафиза бедра
Пример оперативной фиксации диафиза бедра

Согласно врачебной практике из доступных источников известно, что период восстановления после подобной травмы с полной нагрузкой на кость - до 3-4 месяцев.

Учитывая современные медицинские технологии в спорте, восстановление нагрузки при своевременном оперативном вмешательстве с установкой фиксирующего железа возможно уже через 4-5 недель. Восстановление костной ткани начинается в период не ранее 14 дней с момента проведения операции, первая стадия длится не менее 28 дней.

Сезон MotoGP 2026 года стартует 1 марта в Таиланде. До этого момента осталось менее двух месяцев.

Важные новости
 
Чистый NextGen: в мировом классе Суперспорт осталась только одна шестисотка
Чистый NextGen: в мировом классе Суперспорт осталась только одна шестисотка

Опубликованные списки участников чемпионата мира по Супербайку в классе World Supersport и лист омологированных мотоциклов стал подтверждением: всего за один сезон гоночная серия избавилась от наследия из 90-х и перешла к эксплуатации нового поколения спортивных мотоциклов Next Generation (NextGen).
Итог предсезонки Мото Гран-При 2026: на тестах в Хересе побит рекорд Moto2, но не Гонсалесом
Итог предсезонки Мото Гран-При 2026: на тестах в Хересе побит рекорд Moto2, но не Гонсалесом

Первая полноценная серия сухих тестов младших классов Мото Гран-При - Moto3 и Moto2 завершилась на Circuito de Jerez в Андалусии. В последний день испытаний на первую строчку протокола вырвался пилот Forward Racing Алекс Эскриг, которому удалось превзойти рекорд трассы для класса Moto2. А где оказался Ману Гонсалес? Итоги тестов в Хересе.
Unique Racing Camp 2026: Погружение в мотоспорт на Crimea GP - мотоциклетный лагерь в Крыму
Unique Racing Camp 2026: Погружение в мотоспорт на Crimea GP - мотоциклетный лагерь в Крыму

Весна 2026 года обещает стать настоящим праздником для любителей мотогонок! Команда Unique Racing Team 96 приглашает энтузиастов скорости — от новичков, только осваивающих мотоцикл, до опытных райдеров — присоединиться к уникальному тренировочному лагерю на легендарной трассе Crimea GP, самом южном и атмосферном кольцевом треке России.
Легкий старт: 10 причин сменить АКБ на мотоцикле, квадроцикле и снегоходе на LiFePo4 аккумулятор
Легкий старт: 10 причин сменить АКБ на мотоцикле, квадроцикле и снегоходе на LiFePo4 аккумулятор

Возможно, что через 2-3 года авто- и мотоиндустрию ожидает революционный переход на твердотельные аккумуляторы. Но пока изобретатели пытаются обойти их слабые стороны (которые убивают все плюсы), есть только один тип АКБ, который решает абсолютно все проблемы - это LiFePo4 (литий-жезело-фосфатный). Пора перейти на новый уровень комфорта и навсегда забыть о проблемах с постоянной подзарядкой, перебоях с питанием в холодную погоду и шансом не уехать утром из гаража. Есть, как минимум, 10 причин перейти на LiFePo4.
Финальный календарь чемпионата мира по мотокроссу MXGP 2026 года
Финальный календарь чемпионата мира по мотокроссу MXGP 2026 года

Окончательная версия календаря чемпионата мира Гран-При по мотокроссу в классах MXGP/MX2/WMX опубликован: финальный формат сезона 2026 года - 19 этапов Гран-При, Мотокросс наций (MXoN) и Юниорский мотокросс наций (JuniorMX).
Чем Япония заменит мотоциклы и кейкары: скутеры, самокаты, беспилотные такси
Чем Япония заменит мотоциклы и кейкары: скутеры, самокаты, беспилотные такси

План «озеленения» мегаполисов Японии, в целом, понятен: революцию в мегаполисах страны возьмут под контроль Honda, Yamaha и Kawasaki. Что уже сейчас предлагает каждый из индустриальных гигантов Страны Восходящего Солнца? Беспилотные такси, электросамокаты, скутеры будущего и вот это вот всё в подробностях
Канал МОТОГОНКИ.РУ в мессенджере Max
Канал МОТОГОНКИ.РУ в мессенджере Max

МОТОГОНКИ.РУ продолжает расширять охваты и сферу вещания: новый канал распространения новостей из мира мотоспорта, автомобильной и мотоиндустрии, тест-драйвах мотоциклов и экипировки, технологиях, закулисных историй из MotoGP, Мирового Супербайка и мотокросса - для пользователей российского месседжера Max!
Мотогонки на льду: в Красногорске на стадионе Зоркий начали заливку льда к финалу ЛЧР-2026
Мотогонки на льду: в Красногорске на стадионе Зоркий начали заливку льда к финалу ЛЧР-2026

Финал личного чемпионата России по мотогонкам на льду (ледовому спидвею) вновь состоится на льду подмосковного Красногорска: исторический стадион «Зоркий» начал активно готовиться к выходным. Фотографии, положение в ЛЧР-2026 и прогноз погоды.
Есть ли предпосылки для битвы Aprilia за титул MotoGP в 2026: Массимо Ривола назвал сразу три
Есть ли предпосылки для битвы Aprilia за титул MotoGP в 2026: Массимо Ривола назвал сразу три

Через неделю в Бурираме состоится очередная серия тестов MotoGP, последний рубеж без стартом сезона Мото Гран-При 2026 года. Год станет переходным между прошлым с 1000-кубовыми прототипами и будущим с 850-кубовыми. Необходимость работы в двух направлениях меняет стратегию заводов. Но тесты в Сепанге показали, кто готов к Гран-При Таиланда здесь и сейчас. На закате директор Aprilia Racing Массимо Ривола сел с журналистами в медиа-центре Sepang International Circuit и дал большое интервью, в котором привел сразу три убедительных причины, почему Марко Беццекки и Aprilia готовы к схватке за титул MotoGP 2026 года.
Марку Маркесу - 33: Кейси Стоунер отдает должное 7-кратному чемпиону MotoGP в день рождения
Марку Маркесу - 33: Кейси Стоунер отдает должное 7-кратному чемпиону MotoGP в день рождения

Легенда MotoGP, двукратный чемпион мира Кейси Стоунер, первым в истории принесший титул в Королевском классе дому Ducati, а затем ставший чемпионом Honda, отдал должное нынешнему лидеру чемпионата мира по Мото Гран-При Марку Маркесу: «он настолько крут, что умеет скрывать свои слабости, и вы даже не поймете, что они у него есть!» - говорит Стоунер о Маркесе, как о себе самом.
 
ПУБЛИКАЦИИ НА ЭТУ ТЕМУ:
Все публикации за 8 января 2026
Directlink:
При цитировании необходимо указывать прямую активную ссылку на оригинал публикации!
Все права защищены © 2003-2026 Любое копирование и тиражирование данной публикации, содержащихся в ней изображений и фотографий запрещено без письменного согласия автора и владельцев МОТОГОНКИ.РУ.

Все содержащиеся на cайте сведения носят исключительно информационный характер. Информация о товарах не является публичной офертой. Указанные цены являются ориентировочными и могут отличаться от действительных цен на конкретные единицы продукции.

Подробнее о правах на распространение и правилах пользования СМИ МОТОГОНКИ.РУ
MotoGP
MotoGP - зарегистрированный торговый знак Dorna Sports S.L. | Copyright © 2026 Dorna Sports S.L. All rights reserved
МОТОГОНКИ.РУ


7.76 МЛН
годовая
аудитория
800457
посетителей
в месяц
20535
прочитано статей
сегодня

РЕКЛАМА В СМИ
Новости Фото Календарь Энциклопедия Поиск Контакты Карта сайта | Sitemap | Sitemap (XML)

Новости индустрии ТЕСТ-ДРАЙВЫ MotoGP Супербайк Мотокросс и Суперкросс Эндуро и Ралли Российское кольцо Мировой мотоспорт Спидвей Супермото Фристайл EXTRAS!

Сетевое издание МОТОГОНКИ.РУ зарегистрировано Федеральной службой по надзору в сфере связи, информационных технологий и массовых коммуникаций (Роскомнадзор) 06.12.2016 св-во о регистрации ЭЛ № ФС77–67891). Учредитель: ИП Чернышева Е.В. Главный редактор: Чернышева Екатерина Валерьевна. E-mail редакции: go@motogonki.ru Тел: +79ОЗ577З4O7

Материалы СМИ МОТОГОНКИ.РУ предназначены для пользователей старше 16 лет. Исключительные права на контент принадлежат МОТОГОНКИ.РУ, защищены Законом РФ и не могут быть использованы каким-либо образом без письменного согласия владельца.

Copyright by MOTOGONKI.RU / MOTOFOTO.RU © 2003-2026

Политика конфиденциальности
О правах на распространение
Welcome message
motogp чемпионат мира мото гран-при результаты большие призы wsbk worldsbk world superbike мотокросс видео mxgp комментарии марк маркес интервью гонка квалификация motogp25 repsol honda валентино росси мотогп мотогп25 motogp2025 motogp 2025 moto2 тесты moto3 ducati motogp23 травма мотогонки авария суперкросс mx2 трансляция сезон-2024 motogp24 ama supercross мировой супербайк чемпионат россии ktm circuito de jerez aprilia racing honda misano world circuit хорхе лоренцо шкмг гран-при катара ktm factory racing hrc qatargp